Delhi
08048034081
+919818331692

Space Maintainers for Children in South Delhi

update image
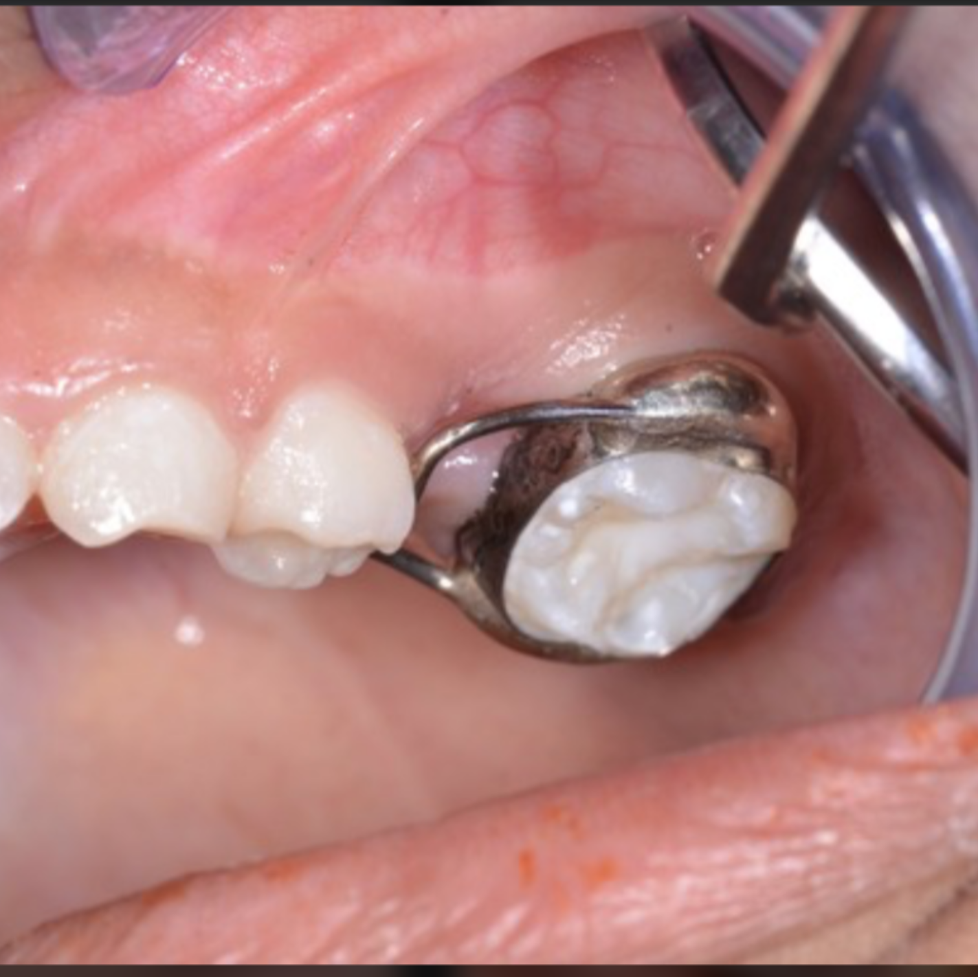
Space maintainers in pediatric dentistry are appliances used to preserve arch space after the premature loss of primary teeth so that permanent teeth can erupt into proper position and function.​ Definition and purpose A space maintainer is a fixed or removable appliance designed to keep the space created by early loss or extraction of a primary tooth until its permanent successor erupts.​ Its main goals are to prevent loss of arch length, avoid drifting and tipping of adjacent teeth, and reduce the risk of future malocclusion and need for complex orthodontic treatment.​ Indications and contraindications Space maintainers are indicated after premature loss of primary molars when there is a risk of mesial drift of posterior teeth or collapse of the dental arch, especially during the mixed dentition period.​ They are generally contraindicated when the permanent successor is close to eruption, in patients with poor oral hygiene or high caries risk, in presence of advanced crowding where space closure is desirable, or when there is poor cooperation with appliance use and follow‑up.​ Types of space maintainers Space maintainers can be classified as fixed or removable, and as unilateral or bilateral.​ Common fixed unilateral designs include band and loop, crown and loop, direct‑bonded and fiber‑reinforced composite maintainers, and distal shoe appliances; bilateral fixed appliances include lingual arch, Nance appliance, and transpalatal arch.​ Removable maintainers are usually acrylic plates (e.g., Hawley‑type partial dentures) that may incorporate artificial teeth, but they require more patient cooperation and are more prone to loss or breakage.​ Advantages and disadvantages Fixed space maintainers are generally preferred because they are more durable, less dependent on patient compliance, and show higher survival and effectiveness in preserving arch length.​ However, they can complicate plaque control, may decement or break, and require periodic recall visits for monitoring, adjustment, and professional cleaning.​ Removable appliances are easier to clean around and can replace missing teeth esthetically, but they depend heavily on the child’s cooperation and are more likely to be lost or not worn as prescribed.​ Clinical considerations and effectiveness Proper case selection requires assessment of dental age, time since tooth loss, eruption status of the successor, amount of space loss already present, and overall arch length–tooth size relationship.​ Evidence shows that space maintainers are effective in preventing space loss, maintaining arch integrity, and supporting normal eruption, but success depends on appropriate appliance design, good oral hygiene, and regular follow‑up to manage complications such as caries, soft‑tissue irritation, or appliance failure. dental space maintainer for child cost dental space maintainer for child price dental space maintainers for child dental spacer for child cost do space maintainers hurt does my child need a space maintainer fixed space maintainers for kids fixed space maintainers for toddlers space activities toddlers space maintainer dental child space maintainer for teeth space maintainer on child space maintainers cost in india space maintainers for child cost space maintainers for children space maintainers in pediatric dentistry space maintainers pediatric space maintainers pediatric dentistry ppt space maintenance for children space requirements for child care center what is a space maintainer for teeth
 2025-12-10T10:49:25

Related Posts

update image

Pediatric Dentistry : Space Maintainers in Childrens Lajpat Nagar

2025-12-11T05:53:17 , update date

 2025-12-11T05:53:17
update image

Dental Fillings: A Comprehensive Guide || Most Trusted Dental Clinic in Lajpat Nagar

2025-12-11T05:39:33 , update date

 2025-12-11T05:39:33
update image

Braces Still Work And Sometimes They’re the Better Option

2025-12-06T06:55:38 , update date

 2025-12-06T06:55:38