Thank you for writing to us. One of our executive will reach back to you through your submitted medium. In case there’s an urgency, feel free to connect over WhatsApp for faster response.
Prefer calling? Dial +9108048034081 (International callers) or 08048034081 (Indian callers).
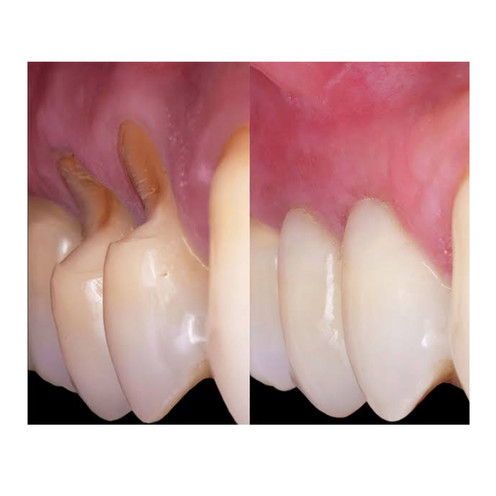
At Madan’s Multispeciality Dental Care Centre, we provide comprehensive and conservative management of Non-Carious Cervical Lesions (NCCLs) tooth surface defects near the gum line that occur without decay and can cause sensitivity, wear, and esthetic concerns.
What Are NCCLs?
NCCLs are loss of tooth structure at the cervical (neck) area of the tooth caused by:
• Tooth abrasion (aggressive brushing)
• Erosion from acidic foods or drinks
• Abfraction due to bite stress
• Gum recession exposing root surfaces
Our Approach to Management
We focus on identifying the cause, not just treating the defect.
Management may include:
• Bite analysis and occlusal correction
• Desensitizing agents for sensitivity relief
• Tooth-colored composite restorations
• Fluoride therapy for enamel strengthening
• Customized oral hygiene instructions
• Night guards for stress-related wear
Advanced & Conservative Care
Using modern adhesive materials and magnification, we ensure restorations that are:
✔ Strong and long-lasting
✔ Highly aesthetic
✔ Minimally invasive
✔ Comfortable for the patient
Why Early Treatment Matters
Early management:
• Reduces tooth sensitivity
• Prevents further tooth structure loss
• Protects exposed roots
• Maintains tooth strength and appearance
📍 Madan’s Multispeciality Dental Care Centre, Lajpat Nagar
✨ Conservative dentistry focused on comfort, function, and long-term protection.
non carious cervical treatment in lajpat Nagar
non carious cervical lesions in amar colony
non carious cervical lesions treatment in amar colony
non carious cervical lesions treatment in defence colony
non carious cervical lesions cost in south delhi
non carious cervical lesions cost in delhi
non carious cervical lesions and risk factors
non carious cervical lesions causes
non carious cervical lesions associated with gingival recessions
non carious cervical lesions associated with gingival recessions
non carious cervical lesions etiology
non carious cervical lesions can terminology influence our clinical assessment
non carious cervical lesions causes
non carious cervical lesions classification
non carious cervical lesions definition
non carious cervical lesions dental
non carious cervical lesions etiology
non carious cervical lesions management
non carious cervical lesions restoration
non carious cervical lesions treatment
non carious cervical lesions types
#dental#