Thank you for writing to us. One of our executive will reach back to you through your submitted medium. In case there’s an urgency, feel free to connect over WhatsApp for faster response.
Prefer calling? Dial +9108048034081 (International callers) or 08048034081 (Indian callers).
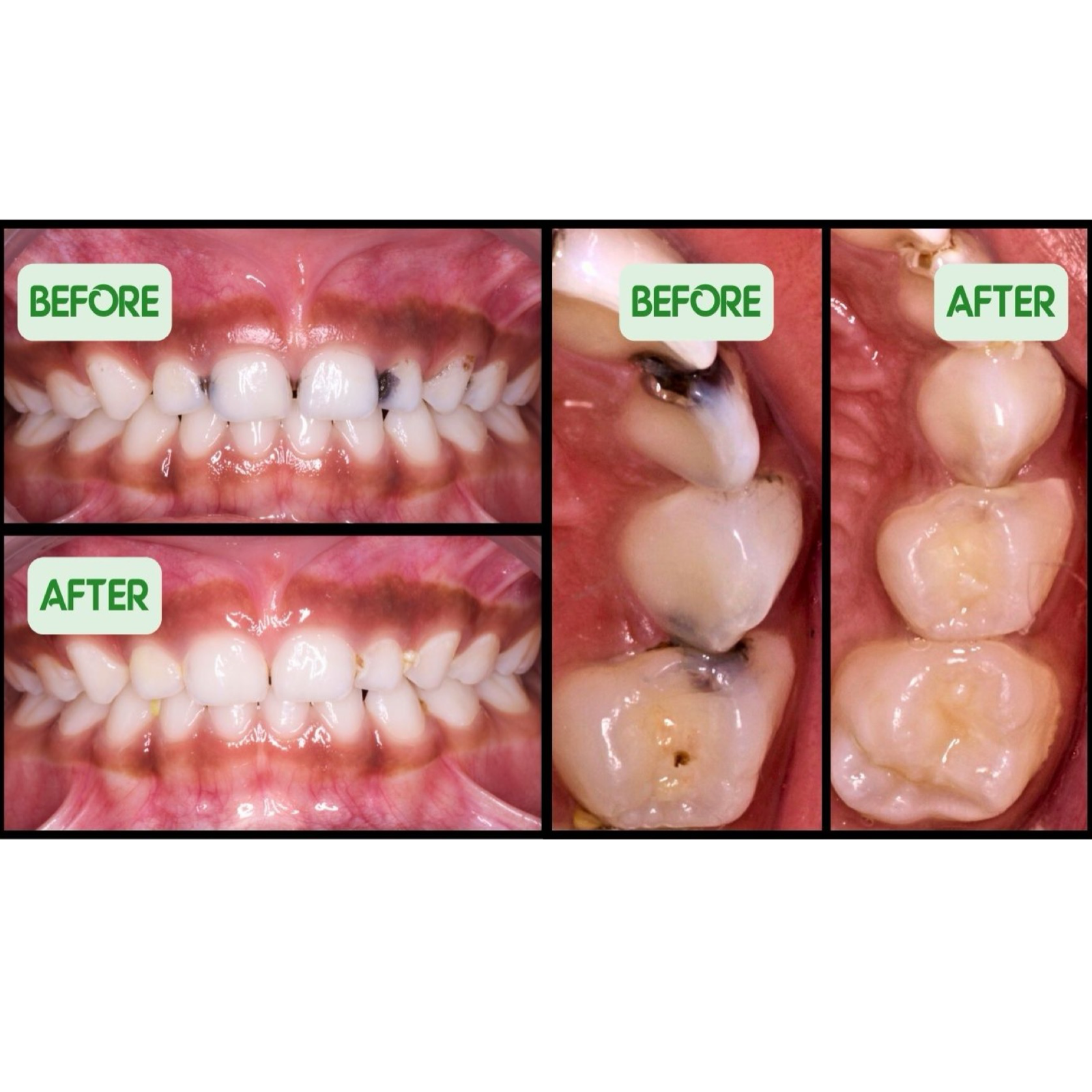
At Madan’s Multispeciality Dental Care Centre, Lajpat Nagar
At Madan’s Multispeciality Dental Care Centre, we strongly believe that healthy permanent teeth begin with healthy milk teeth. Milk teeth are not “temporary” or “unimportant” they play a vital role in a child’s growth, development, and overall oral health.
Why Milk Teeth Are Important
Milk teeth:
• Help children chew food properly and maintain nutrition
• Aid in clear speech development
• Maintain space and guide permanent teeth into correct position
• Support proper jaw and facial growth
• Build a child’s confidence and smile
Early loss or neglect of milk teeth can lead to crowding, misalignment, pain, infection, and future orthodontic problems.
Importance of Early Management
Early dental care helps:
• Detect cavities before pain begins
• Prevent dental infections and swelling
• Avoid early tooth loss
• Reduce the need for complex treatments later
• Create positive dental experiences and reduce fear
Our Child-Friendly Approach
We provide gentle, preventive, and age-appropriate care including:
• Regular dental check-ups
• Professional cleaning
• Fluoride application & sealants
• Early cavity treatment
• Habit counseling (thumb sucking, mouth breathing)
• Parent education on home care
Building Healthy Smiles for Life
With timely care and guidance, children develop strong teeth, healthy habits, and confidence that last into adulthood.
📍 Madan’s Multispeciality Dental Care Centre, Lajpat Nagar
✨ Because every healthy smile starts in childhood.
about milk teeth
milk teeth management at lajapt nagar
best child dentist in south delhi
best child dentist in delhi ncr
best child dentist treatment cost in lajpat nagar
are milk teeth important
are milk teeth made of milk
are milk teeth strong
baby teeth are important
baby teeth importance
baby teeth important
can milk affect teeth
can milk teeth be permanent
can milk teeth be removed
can milk teeth grow twice
can milk teeth stay
can milk teeth stay forever
deciduous teeth importance
define milk teeth
do milk canine teeth fall out
do milk teeth all fall out
do milk teeth have molars
do milk teeth have premolars
does milk teeth have roots
how many milk teeth in human body
how milk help teeth
how milk teeth come out
how milk teeth fall out
if milk teeth do not fall
if milk teeth don't fall out
affordable child dental treatment in delhi ncr
#dental#