Thank you for writing to us. One of our executive will reach back to you through your submitted medium. In case there’s an urgency, feel free to connect over WhatsApp for faster response.
Prefer calling? Dial +9108048034081 (International callers) or 08048034081 (Indian callers).
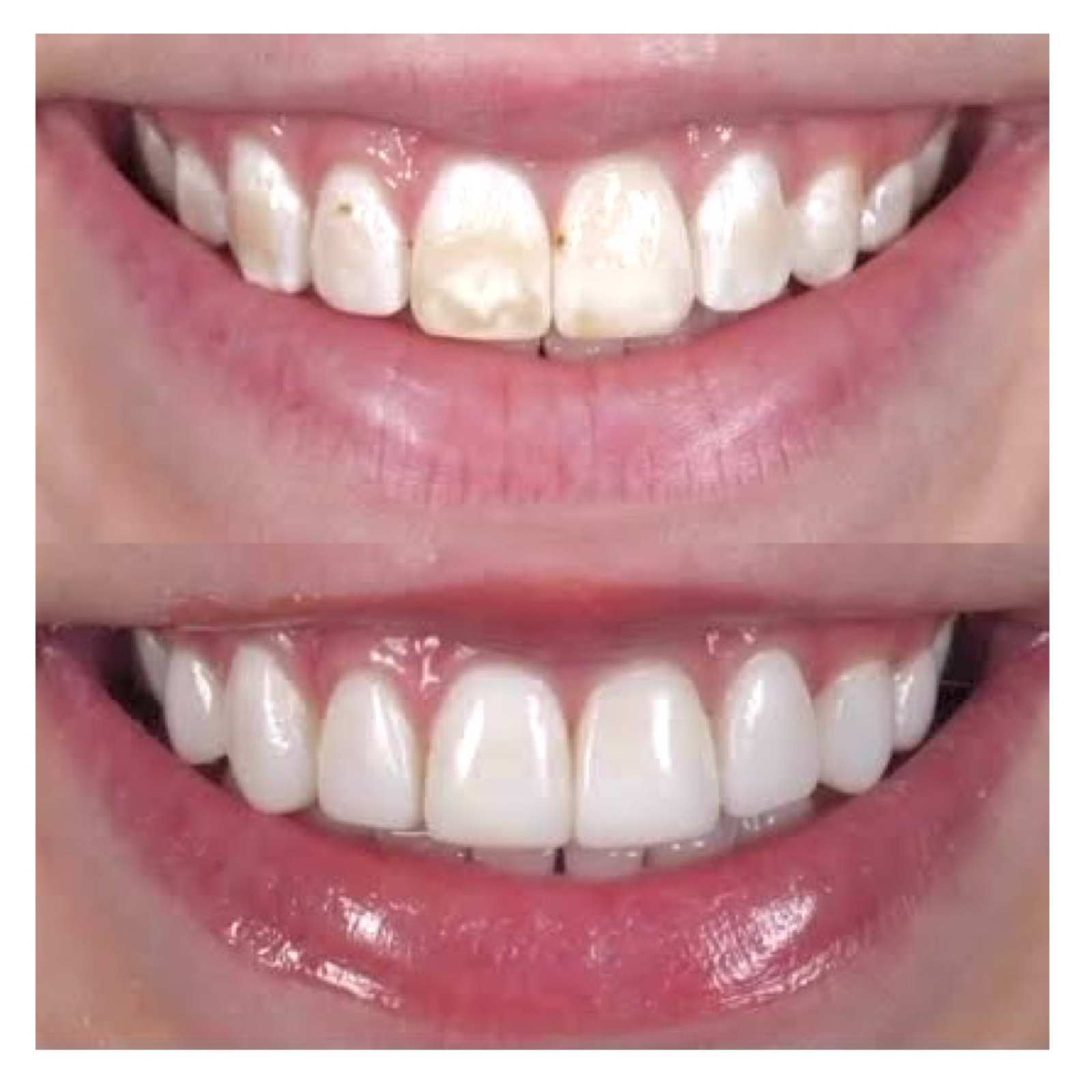
Dental fluorosis can cause white patches, yellow stains, or brown discoloration on teeth due to excess fluoride exposure during tooth development. While the teeth may be strong, the uneven color can affect confidence and smile aesthetics.
At Madan’s Multispeciality Dental Care Centre, Lajpat Nagar, we offer advanced esthetic correction using dental laminates to transform fluorosed teeth into a naturally bright, uniform smile.
What Are Dental Laminates?
Dental laminates are ultra-thin, custom-made ceramic or composite shells that are bonded to the front surface of teeth to improve their color, shape, and appearance.
They are:
✔ Highly aesthetic
✔ Minimally invasive
✔ Long-lasting
✔ Stain-resistant
✔ Natural-looking
How Laminates Help in Fluorosis
• Mask deep stains and discoloration
• Restore uniform tooth shade
• Improve smile symmetry
• Enhance overall facial aesthetics
• Boost confidence instantly
Our Advanced Approach
At our centre, treatment involves:
1️⃣ Detailed smile analysis
2️⃣ Shade selection for natural appearance
3️⃣ Minimal tooth preparation
4️⃣ Precise digital planning
5️⃣ Strong and durable bonding
We ensure results that look natural, not artificial.
Why Choose Laminates Over Bleaching?
In moderate to severe fluorosis, simple whitening may not give satisfactory results. Laminates provide:
• Immediate transformation
• Predictable aesthetic results
• Long-term correction
📍 Madan’s Multispeciality Dental Care Centre, Lajpat Nagar
✨ Redefining smiles with precision, aesthetics, and confidence.
best treatment for fluorosis teeth
can dental fluorosis be treated
can fluorosis be removed
can fluorosis be stopped
can fluorosis be treated
can laminate be polished
classification of fluorosis
dental fluorosis before and after
dental fluorosis classification
dental fluorosis is caused by
dental fluorosis levels
dental fluorosis management
dental fluorosis pathophysiology
dental fluorosis removal
dental fluorosis treatment
difference between fluorosis and enamel hypoplasia
flurosis management in south delhi
fluorisis treatment in lajpat nagar
flourosis treatment in delhi ncr
best dentist for flourosis treatment in south delhi
best dentist for flourosis treatment in lajapt nagar
laminate cost in south delhi
laminate cost in lajpat nagar
#dental#